Deprecated: Creation of dynamic property product_page_options_class::$result is deprecated in /var/www/vhosts/eneviahealth.com/test.eneviahealth.com/wp-content/plugins/woocommerce-custom-options-lite/classes/class-product-page-options.php on line 13

Notice: Function _load_textdomain_just_in_time was called incorrectly. Translation loading for the yith-woocommerce-pdf-invoice domain was triggered too early. This is usually an indicator for some code in the plugin or theme running too early. Translations should be loaded at the init action or later. Please see Debugging in WordPress for more information. (This message was added in version 6.7.0.) in /var/www/vhosts/eneviahealth.com/test.eneviahealth.com/wp-includes/functions.php on line 6131
¿Es la encefalitis autoinmune un desencadenante del autismo?

Is autoimmune encephalitis a possible trigger for autism?

Is autoimmune encephalitis a possible trigger for autism?

The relationship between autoimmune encephalitis and autism

Autism Spectrum Disorders (ASD) is a diagnosis defined by diagnostic criteria based on the observation of communication and social interaction abilities, the presence of restricted and/or repetitive behaviors, hyperreactivity or hyporeactivity that can generate a variable impact on autonomy. and quality of life of the individual.

Epidemiological studies report a prevalence of ASD in the general population of around 1%, they also report a male/female gender ratio of approximately 3:1. In recent years, the theoretical concept of "acquired autism" has been proposed. It refers to the hypothesis that among the massive heterogeneity that encompasses ASD, there may be several phenotypes that are neither syndromic nor innate; immunological, metabolic and neurological phenotypes.

ASD presents a multitude of cognitive, behavioral and/or psychiatric disorders; many of which can significantly affect the individual's quality of life. Diagnoses such as learning disability, attention deficit hyperactivity disorder (ADHD), and schizophrenia spectrum disorder (SSD) are overrepresented in ASD. There are other problems such as depression, anxiety, eating disorders that can also coexist with ASD and from an epidemiological point of view are very common.

There are also various conditions of conditions of other organs that frequently accompany ASD. Epilepsy and/or seizure disorders and functional and/or pathological gastrointestinal (GI) disorders) can affect to some degree, and of course at more severe levels will affect the expression of the ASD phenotype, along with sleep problems, motor and gait problems and a host of other complications in the patient's health.

All of these somatic problems have the propensity to affect both the presentation of the core symptoms of ASD and life experiences.

Autismo en bebé menor a 12 meses

The identification of Autism Spectrum Disorder (ASD) is difficult before 12 months of age, since the beginning of the activities characteristic of each stage of the child is required to be able to evaluate if there is something outside the expected growth in neurodevelopment for the child. age. But diagnosis is usually possible at two years of age.

Various reasons have been put forward to try to understand the increase in the incidence of Autism Spectrum Disorder but they are still not fully understood; One of the factors proposed as the origin of the increase is awareness and diagnostic substitution, which have been increasing in the last decade and it is suggested that this may be involved, but they do not seem to fully explain the sustained increase in the number of people diagnosed.

Several causes have been identified in ASD, including syndromic autism in which studies have identified alterations in one or more genes that encode key proteins, such as the BCKDK (Branched Chain Ketoacid Dehydrogenase Kinase) gene that appears as part of ASD. of a known genetic condition and with treatment possibilities, although limited.

We also have ASD that accompanies inborn errors of metabolism such as phenylketonuria (PKU), the development of ASD after prenatal exposure to specific medications such as sodium valproate, exposure to infectious diseases such as rubella.

Some studies have demonstrated the presence of core symptoms and features of autism that arise as a consequence of viral and bacterial encephalitis in children and even adults who were previously developmentally typical. There are multiple studies that have given us irrefutable evidence that there is a link between the infection and ASD. These symptoms appear after infections, and have been shown to range from developmental and behavioral changes after herpes encephalitis to HIV infection.

Despite the heterogeneity in the diagnosis of ASD from a genetic point of view, there is evidence of insufficient and excessive activity of the immune system in ASD. That is why an immunological phenotype is also associated, in addition to the metabolic and neurological one. Which we can observe in research that reports alterations in immune behavior in relation to allergies, mast cells and inflammatory processes in general in ASD.

Autismo y el embarazo

Some studies were able to observe an increased risk of ASD in children of mothers with pathologies associated with the immune system, which were poorly controlled during pregnancy. This sustained immune signaling with excessive response is a risk factor for autoimmunity.

Autoimmunity is characterized by an immune system that does not recognize the individual as its own and gives rise to an immune response that attacks the body's own tissues.

Studies have shown the origin and how it is strongly linked to ASD. The findings range from the presence of a family history with autoimmune pathologies as a recognized risk factor for ASD to exposure and response to maternal autoantibodies with maternal immune activation during critical periods of gestation.

Encephalitis autoimmune

Autoimmune encephalitis is a very serious neurological disorder of inflammatory origin that affects the brain. Its etiology lies in two origins: Firstly, it can be caused by an infection that attacks the brain, or secondly, our immune system attacks the brain by mistake.

These situations that have already been studied are known respectively as infectious encephalitis (where the cause of encephalitis is caused by exposure to one or more viral or bacterial agents) and autoimmune encephalitis (where the immune system mistakenly attacks the brain tissue simulating a reaction or autoimmune disease).

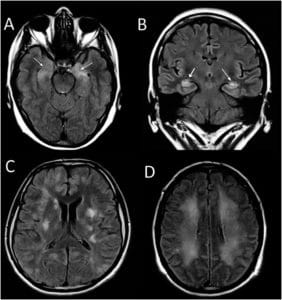
So with so many possible causes and symptoms, the best concept we can give of autoimmune encephalitis is that of an acute neurological syndrome characterized by an altered mental state in combination with two or more secondary diagnostic criteria (fever, new epileptic seizures or neurological deficits, pleocytosis of the cerebrospinal fluid, specific alterations detected by neuroimaging or electroencephalography).

Autoimmune encephalitis encompasses a group of conditions, the most common being acute demyelinating encephalomyelitis, LGI1/CASPR2 antibody encephalitis, and anti-N-methyl-D-aspartate (anti-NMDA) receptor encephalitis.

It has an estimated incidence of 5 to 10 per 100,000 people per year. Regarding the onset, it is usually acute, characterized by an initial phase with classic symptoms that appear after any infectious disease that includes fever, general malaise and headache that may reflect something similar to a flu virus infection.

Encefalitis autoinmune

Subsequently, the first symptoms that affect behavior, cognition and aspects related to the patient's neurological status occur, normally within 3 months.

Symptoms may include seizures, hallucinations and associated symptoms affecting responsiveness and consciousness representative of an altered mental state, difficulty with communication and memory, sleep disturbances and the presence of abnormal movements (including dystonia and akinesia) that They may or may not be repetitive and/or stereotyped in nature.

After proper, early diagnosis and proper implementation of a treatment regimen, many people recover well from Autoimmune Encephalitis. Although with a greater risk of relapses and, for some, long-term sustained symptoms which will directly depend on the damage caused and the time it took to implement the appropriate treatment.

Due to the low prevalence of Autoimmune Encephalitis, it has great obstacles to its diagnosis and the limitations in relation to its symptoms and pathophysiology due to the great similarity with other pathologies that are more typically prevalent, generate significant obstacles for early diagnosis. 

The types of Autoimmune Encephalitis based on their observable symptoms are indistinguishable from each other. Furthermore, the breadth of symptoms associated with AD can be observed more incidentally in several diagnoses that also affect the neurological sphere, such as:

  • Seizure disorders due to various encephalopathies.
  • Psychosis, schizophrenia, drug toxicity, from the psychiatric sphere.
  • Wernicke's encephalitis.
  • Neuroleptic malignant syndrome.
  • Lymphomas, among other neoplastic diseases.
  • Mitochondrial diseases.

Therefore, reaching the diagnosis of Autoimmune Encephalitis is a long path and is partially formed by the exclusion of other conditions that have a similar presentation and also potentially, when treatments and interventions for said conditions with a similar onset of symptoms fail to alleviate said symptoms (or even, in some cases, aggravate the symptoms) so the range to reach the diagnosis is by ruling out and performing the relevant paraclinical tests.

Due to the etiology and necessary propaedeutic approach involved in autoimmune encephalitis, an essential diagnostic role is required for autoantibody testing either directly from cerebrospinal fluid (CSF) or in less invasive ways for the child such as dried blood samples. obtained from capillary blood, which in cases of ASD are essential and empathize with the patient's own condition, reducing sedation options due to the way in which the CSF sample is obtained.

There are many autoantibodies which are useful for the diagnosis of different types of AD, the ideal is to combine them with other diagnostic tests such as electroencephalogram (EEG), nuclear magnetic resonance (MRI) and/or preferential cancer screening, you can obtain an important clinical picture to complement the range of pathologies that manifest with their symptoms.

One of the important things to highlight is that various studies have detailed cases of autoimmune encephalitis that are accompanied by seronegativity in autoantibody tests, to the point that some doctors recommend starting immunotherapy in "cases of symptoms with positive criteria" for AD but in the absence of positive tests for autoantibodies.

Age groups

We can say that despite the common points in the presentation of behavioral, psychiatric and neurological symptoms of AD in all age ranges, differences have been observed in which certain symptoms are shown depending on age and stage of development. of the patient. In a study with records of 500 AD patients, it was observed that those under 12 years of age tended to show more pronounced behavioral, seizure, and movement disorders compared to older cohorts. 

Adults, on the other hand, tended to show cognitive and memory problems with a higher prevalence than pediatric ones. In children, AD appears to manifest most frequently as agitation, tantrums, and aggression, often coinciding with speech and language problems such as mutism and echolalia, sleep disorders, sensory problems, and gait and movement disorders. motion.

We must point out that it is necessary to take into account possible secondary clinical labels when diagnosing pediatric AEs, including these two most important:

  • Gilles de la Tourette syndrome.
  • Pediatric autoimmune neuropsychiatric disorders associated with infections Streptococcus spp (PANDAS).

The big problem that doctors present at the time of diagnosis is that its symptoms can overlap with those of ASD. Therefore, the ASD label is given to an Autoimmune Encephalitis that has a treatment that can improve the symptoms immediately.

Hence the importance of establishing an early and timely diagnosis; and lies in the existence of strong evidence that these “regressive ASD” cases are really an AD that did not have a timely diagnosis, therefore the misdiagnosis of ASD could be at play. 

Treatment

The indicated first-line treatment is IVIG with combinations of steroids and plasmapheresis. The secondary use of monoclonal antibodies such as Rituximab and Cyclophosphamide can also be observed in national studies and protocols from various countries in some cases when no response to first-line interventions is observed.

Off-label use has been controversial, but has had very promising results, although more studies need to be conducted to establish parameters based on evidence and not experience. Timely treatment is associated with a more favorable clinical outcome. It is also important to note that the recommended treatment options for AEs do not differ for children and adults.

Autoimmune Encephalitis and Autism Spectrum Disorder

Studies have provided us with strong scientific evidence that many alterations of the immune system are a hallmark of ASD, and exposure to infections and inflammatory mediators in the first years of life can cause the label of ASD or ASD-like characteristics, may also contribute. to the severity of symptoms and presentations, but there is still that difficulty in considering ASD as a biological condition.

Although past psychological explanations for ASD have been roundly discarded with updates over the past 5 decades, and all-encompassing psychological models of the nature of ASD are in retreat, long-held views about the label persist.

Certain statements still persist in some scientific circles, which we must understand are erroneous with factors based on evidence with emerging ASD regression data; so ASD no It's unique neither universally innate, and neither It is a diagnosis that is immutable and lifelong.

These views are flawed based on several factors, including the enormous heterogeneity encompassing ASD and emerging data on regression, acquired ASD, as well as a significant minority of ASD cases in which ASD is no longer achieved. diagnostic symptom thresholds. These observations are also relevant when exploring the overlap between ASD and AD.

Austistic Regression Phenomenon

It is estimated that approximately 30% of children with initial typical development may present regression in the first years of life, this is characterized by loss of language, deterioration of communicative intention and development of stereotyped behaviors.

The way in which this phenomenon is established is poorly understood and we should not take the levity of interpreting it as a non-specific manifestation, given that it may respond to a neurological infectious etiology, some metabolic or immunological manifestation, and these new symptoms that the patient did not present before now. They are installed abruptly or progressively.

We can see this concept in the Diagnostic and Statistical Manual of Mental Disorders (DSM-5), which includes what we call  disintegrative syndrome as an evolutionary form of autism spectrum disorders. Therefore, knowing this concept is essential to understand other possibilities in what is usually labeled as ASD.

This concept refers to an arrest in the acquisition and/or reversal of previously acquired skills and the appearance of autistic characteristics, it is well documented. But regression in previously acquired skills and previous neurodevelopmental capabilities is also a facet of AD.

Some studies looking at the onset patterns of AD, particularly in children, show that many behaviors are associated with the condition, including those that constitute the core symptoms used to diagnose Idiopathic Autism.

Behavioral symptoms include loss of speech, echolalia, changes in speech patterns or inability to form sounds, loss of eye contact, decreased interest in the environment, loss of social interaction, and lack of interest in recreational activities consistent with age.

When we are faced with an encephalitic disorder of unknown or unclear etiology, we must always rule out alterations in autoimmune mechanisms when symptoms develop rapidly (in a few days or weeks), especially if they are accompanied by signs of inflammation in the brain. CSF or with pathological neuroimaging studies, and whether the clinical and immunological characteristics respond to immunotherapy.

Furthermore, when the serum and/or CSF are negative for clinically relevant autoantibody tests, and the symptoms suggest a possible encephalopathy, we consider the use of research laboratories to rule out any false-negative results. Thanks to this mechanism, the autoantibodies that we know today have been discovered.

So if you are the father or mother of a patient with autoimmune encephalitis or ASD, never doubt that you can be your grain of sand for a clearer future in diagnosis and treatment, supporting research is crucial for medicine.

At Enevia, we believe that no person should be diagnosed with autism without first having ruled out organic problems!

In our Blog You can find articles related to this area and about neurodevelopmental pathologies, we leave you some below:

https://test.eneviahealth.com/blog/inflamacion-cerebral-ninos-autismo-esquizofrenia/
https://test.eneviahealth.com/blog/descubrimiento-en-neurologia-encefalitis-por-nmda/
https://test.eneviahealth.com/blog/descubren-nueva-molecula-que-protege-al-cerebro/

References

1. Whiteley P, Marlow B, Kapoor RR, Blagojevic-Stokic N, Sala R. Autoimmune Encephalitis and Autism Spectrum Disorder. Front Psychiatry. December 17, 2021;12:775017.

2. Underwood JFG, Kendall KM, Berrett J, Lewis C, Anney R, van den Bree MBM, et al. Autism spectrum disorder diagnosis in adults: phenotype and genotype findings from a clinically derived cohort. Br J Psychiatry. 2019 Nov;215(5):647-53.

3. Shenouda J, Barrett E, Davidow AL, Halperin W, Silenzio VMB, Zahorodny W. Prevalence of autism spectrum disorder in a large, diverse metropolitan area: Variation by sociodemographic factors. Autism Res Off J Int Soc Autism Res. Jan 2022;15(1):146-55.

4. Novarino G, El-Fishawy P, Kayserili H, Meguid NA, Scott EM, Schroth J, et al. Mutations in BCKD-kinase lead to a potentially treatable form of autism with epilepsy. Science. 2012 Oct 19;338(6105):394-7.

5. Croen LA, Qian Y, Ashwood P, Daniels JL, Fallin D, Schendel D, et al. Family History of Immune Conditions and Autism Spectrum and Developmental Disorders: Findings from the Study to Explore Early Development. Autism Res Off J Int Soc Autism Res. Jan 2019;12(1):123-35.

6. Edmiston E, Ashwood P, Van de Water J. Autoimmunity, Autoantibodies, and Autism Spectrum Disorders (ASD). Biol Psychiatry. 2017 Mar 1;81(5):383-90.

7. Wagner JN, Leibetseder A, Troescher A, Panholzer J, von Oertzen TJ. Efficacy and safety of intravenous immunoglobulins for the treatment of viral encephalitis: a systematic literature review. J Neurol. 2022;269(2):712-24.

8. Whiteley P, Carr K, Shattock P. Is Autism Inborn And Lifelong For Everyone? Neuropsychiatr Dis Treat. 2019-10-07;15:2885-91.

9. Ruggieri V, Arberas C. Autistic regression: clinical and etiological aspects. Rev Neurol. January 1, 2018;66:17.

10. American Psychiatric Association. Diagnostic and Statistical Manual of Mental Disorders, Fifth Edition DSM-5. 5th Ed. 2013.

11. Armangue T, Petit-Pedrol M, Dalmau J. Autoimmune Encephalitis in Children. J Child Neurol. 2012 Nov;27(11):1460-9.

share this news

Other interesting news

Blog Categories

Uncategorized

Test

ASD

Supplements

Immune system

Resources

Chelators

Practitioners

Omegas

News

Neurology

Microbiota

Laboratories

Stories

Genetics

Diet

Conferences

celiac disease

ATEC

Akkermansia

Exclusive professionals

Your request will be reviewed by our team.

Username*
Name*
Surnames*
E-mail*
Professional title (doctor, nutritionist, therapist...)*
Collegiate number*
Specialty
Name of clinical practice*
Address of the clinical practice where the kits are sent.*
Password*
Confirm Password*
ENEVIA HEALTH as Data Controller will process your data in order to manage your registration as a registered user. The basis of legitimacy is your consent expressed in the acceptance box of our privacy policy. The communication of the data is not foreseen, except in compliance with legal obligations. You can access, rectify and delete your data, as well as exercise other rights by consulting the additional and detailed information on data protection in our Privacy Policy.

Exclusive Laboratories

Your request will be reviewed by our team.

Laboratory Name*
laboratory manager*
Laboratory medical director*
Membership number Medical Director*
Telephone*
Laboratory Management*
Location*
Province*
Country*
E-mail*
Username*
used for login
Password*
Confirm Password*
ENEVIA HEALTH as Data Controller will process your data in order to manage your registration as a registered user. The basis of legitimacy is your consent expressed in the acceptance box of our privacy policy. The communication of the data is not foreseen, except in compliance with legal obligations. You can access, rectify and delete your data, as well as exercise other rights by consulting the additional and detailed information on data protection in our Privacy Policy.
Whatsapp groups

Our groups are the ideal platform to learn and share your scientific concerns about neurodevelopment issues

Group rules:

  1. Be nice. Bullying, insults and personal confrontations are not allowed.
  2. Respect everyone's privacy.
  3. Use information that is as scientific and reliable as possible, cite sources.
  4. We want to comply with WhatsApp rules and avoid topics that we know lead to the closure of groups, so we ask that these groups not discuss topics related to VACCINES, MMS, CDS.

*Our purpose is informational only, it is not intended to be a substitute for medical advice, diagnosis or treatment.